
「OOO小姐您好,我這邊是台北市政府,想請問當初補助初期唐氏症篩檢結果是高風險,後來有順利生產嗎?」
可以感覺得到電話那一頭的小姐,也為自己這麼唐突的發問感到不好意思。
「謝謝,小孩很健康,已經一歲了」我心想,這個問題如果問到唐寶寶媽媽,無疑是在傷口撒鹽,心又要再碎一次了。
對方得知結果後,態度似乎比較緩和,接著問「後來有做羊膜穿刺或是非侵入式篩檢嗎?覺得台北市政府的初唐補助,對您有幫助嗎?」
「得知初唐高風險的當天我就做了NIPT」但初唐補助是否有幫助這個問題,我猶豫了一下「我想,初唐篩檢應該還是有點幫助吧!」
電話掛上,我有點後悔,我應該回答「建議台北市政府可以改補助其他唐氏症篩檢的檢驗費」
這通電話,把我的記憶拉回了一年前,雖已事隔許久,但現在回想起來還是心酸酸的,那段以淚洗臉的時光彷彿歷歷在目,畢竟,當時初唐高風險的偽陽性檢測報告,讓我足足流了1周的眼淚。
| 頸 部 透 明 帶 過 了 ,但 卻 敗 在 了 鼻 骨 |
當初初唐檢測是在設備儀器很新的禾馨檢查,10w先抽血,13w再做超音波頸部透明帶測量,號稱準確度高達92%。
雖然自己已經年過30,但還不到高齡,心想應該不算高風險
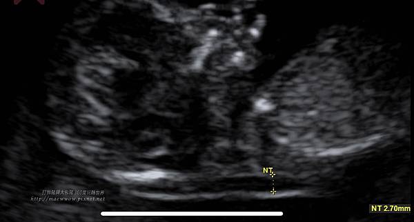
超音波檢查過程中,頸部透明帶2.7,(頸部透明帶的標準值為2.5或3mm以下),勉強在合格邊緣

媽媽自己聽到鬆了一口氣,但醫生卻說照不到小孩鼻骨,這樣的風險會變高。
(媽媽對初唐的了解就是頸部透明帶的厚度,還沒有意會到醫生說照不到鼻骨的意思)

原來,近年來,唐氏症篩檢新進展是在懷孕初期以胎兒的後頸部透明帶及鼻樑骨超音波篩檢,來預測胎兒罹患唐氏症機率的高低。
「英國倫敦皇室學院附設醫院胎兒研究中心醫師研究發現,在篩檢期間唐氏兒中有73%鼻樑骨並未發育完成;相對的,染色體正常的胎兒則只有0.5%缺乏鼻樑骨。胎兒鼻樑骨缺乏,則胎兒可能為唐氏症的機率將是正常胎兒的近一百五十倍。進一步分析發現,在懷孕第11至第14週合併產婦年齡,胎兒後頸部透明帶厚度(NT)作唐氏症篩檢,其偵測率為75%;若合併前二項指標,再加上胎兒鼻樑骨偵測(NB),則產前唐氏症的偵測率將可提高至85%,而偽陽性則由5%降至1%。」--節錄至蕭勝文醫師 / 鄭博仁副教授,後頸部透明帶及鼻樑骨超音波篩檢,第34期長庚婦產通訊
看到報告1:119,再看看低風險要<1:1000,這才意識到,我的小孩可能是唐寶寶!!

醫生當下就問說:「有要做羊穿還是NIPT?羊穿要16w,要再等快1個月,NIPT適合10w~18w,當天就可以立刻抽血。」
我有點慌了,知道自己是高風險,怎麼可能還可以再等1個月。當下,不問價錢,二話不說,立刻抽血做NIPT。
那天,是哭著回家的。
禾馨NIPT檢查報告已經算是很有效率,大約7~10個工作天,不用等到紙本報告寄來,透過他們家的APP可以即時知道結果,檢查期間一有異常,也會直接電話通知。
即使如此,等待的日子仍舊難熬,期間不斷google偽陽性的機率,別人翻盤的案例,把超音波的照片放大最大,想要找尋那一丁丁的小鼻骨的蹤跡,但網路上分享鼻骨的案例真的比較少,那一周上班哭、回家哭,每一兩個小時就會去刷一次禾馨的APP,看檢驗報告出來沒。
檢驗結果終於出爐,看到結果當下我又哭了,這次是帶著微笑留下喜悅的眼淚。
|初 唐 檢 查 只 是 個 風 險 值 ,要 確 定 只 能 靠 羊 穿 等 檢 測 |

後來我認識了一些跟我一樣初唐高風險的媽媽,有個媽媽的風險值還高達1:9!但她的醫生就安慰她說:「9分之1的機率也只是生9個有可能1個是唐寶寶,妳有要生9個嗎?」。
但~如果高風險不代表寶寶就是唐寶寶,低風險也有可能有機會是唐寶寶,哪~初唐的結果就只是個機率、只是個風險值。妳安心嗎?
我知道初唐還是有9成的準確度可以早期發現唐寶寶,我也知道初唐檢驗可以併同子癲、早產風險的檢測。但媽媽我心臟很小顆,本來就有規劃要做nipt或羊穿,可是因為初唐的結果,讓我又多流了不知多少淚。雖然是事後諸葛,但,如果再讓我選一次,我會直接選羊穿或nipt,不會再做初唐。
這是我個人經驗分享,附上個mini鼻骨寶,希望我的mini鼻骨寶翻案的案例可以給大家做個參考。

《 媽媽寶寶防疫必修課 》
【口罩防衛戰】如何讓1歲寶寶開始戴口罩?媽媽實戰心法分享?
【防疫大作戰】哈啾!寶寶生病了嗎?入秋後細菌病毒蠢蠢欲動,如何做好清潔防護工作?
文章都看光光了~還不來按個讚
或分享,感謝您的支持與加油,是打拋豬與大包豬繼續分享的動力
)
(粉絲團也煩請支持給個👍)
【關於我們】
老婆 = 打拋豬 ;老公 = 大包豬
愛旅遊 、吃美食的我們 ,希望透過我們部落格紀錄更多好玩好吃地方
家中多一位成員小小豬,親子文章當然也不能少
還沒加入我們粉絲團的新朋友,快來加入 💖我們粉絲團
讓您能隨時掌握最新的資訊
有任何想問都歡迎 私訊 我們,我們會用最快速時間回復您!!
留言列表
{{ article.title }}